
Meet
James
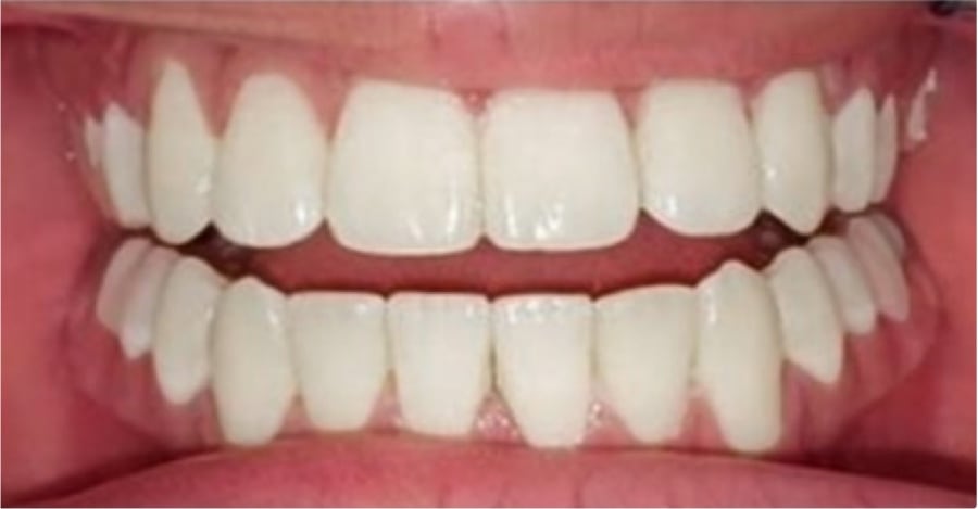
“Dr. Vo was great about assessing the situation and she wouldn't stop until I was satisfied with the results. I can't thank Dr. Vo and the team enough.”

Meet
Esmeralda
“Dr. Vo is connecting to her patients on a different level and that's what sets them apart. The end result is beautiful and my daughter has a beautiful smile.”

Meet
Erin
“Every time you come in, you aren't just getting treatment. It's like catching up with an old friend.”
















